Propósito e excelência: a odontologia de Simone Taborda em Nova Mutum

Há profissionais que escolhem uma carreira. E há aqueles que compreendem que foram conduzidos por ela.
A cirurgiã-dentista Simone Taborda costuma dizer que não foi ela quem escolheu a odontologia. “Quem me escolheu foi a odontologia”, afirma, com a serenidade de quem construiu mais de 18 anos de trajetória sólida e coerente.
O início foi inesperado. Enquanto se preparava para Medicina, surgiu a oportunidade de ingressar em Odontologia na antiga FESO, em Teresópolis (RJ). Ela se inscreveu, foi aprovada e iniciou ali uma jornada que, hoje reconhece, já estava desenhada. “Quando entendi meu propósito, percebi que era exatamente aqui que eu deveria estar.”
Antes mesmo de se tornar dentista…
Reabilitação oral como missão: entenda os benefícios e processos
Ao longo da carreira, Simone Taborda consolidou sua atuação na reabilitação oral, uma área da odontologia que reúne diferentes procedimentos para restaurar a saúde bucal, a função mastigatória e a estética do sorriso. No consultório, esse trabalho pode envolver dependendo do caso, restaurações estéticas com resinas premium, implantes dentários, próteses, procedimentos gengivais e enxertos ósseos. Sempre com planejamento individualizado para cada paciente.

“A gengiva é como o alicerce de uma casa. Tudo começa por ela. Precisa estar saudável para sustentar o restante.”

Essa missão também tem uma origem pessoal para Simone. Antes mesmo de se tornar dentista, ela acompanhou o tratamento odontológico da própria mãe e percebeu o impacto que a reabilitação pode ter na vida de uma pessoa.
“Foi ali que entendi que a odontologia vai muito além de tratar dentes. Quando o paciente volta a mastigar bem e se sente seguro para sorrir, a qualidade de vida muda.”
Os implantes, por exemplo, funcionam como raízes artificiais instaladas no osso para substituir dentes perdidos, devolvendo estabilidade e aparência natural ao sorriso.
Mais do que reconstruir dentes, a reabilitação oral busca devolver função, equilíbrio e confiança sempre respeitando as características e necessidades de cada paciente.
Segurança e acolhimento
O receio do implante dentário ainda é comum, mas a odontologia moderna tornou o procedimento cada vez mais seguro, previsível e confortável para o paciente.
Para Simone Taborda, esse cuidado começa muito antes da cirurgia.
“Minha cirurgia começa na primeira consulta.”
Desde o primeiro atendimento são realizados exames, análise da saúde geral e planejamento detalhado de cada caso. Condições como diabetes, osteoporose ou o uso de determinados medicamentos precisam estar controladas para garantir que o procedimento seja realizado com segurança.
Simone também esclarece um dos mitos mais comuns: não existe rejeição ao implante. O que pode ocorrer são condições clínicas que precisam ser previamente avaliadas e acompanhadas.
Além do preparo técnico, o acolhimento também faz parte de todo o processo.
“Cada paciente é único. O acolhimento, a escuta e o cuidado com os detalhes ajudam o paciente a passar por todo o tratamento com tranquilidade e sem dor.”
Com planejamento, tecnologia e cuidado em cada etapa, o implante dentário se torna um procedimento seguro, previsível e capaz de devolver função e confiança ao sorriso.
Muito além da estética
O impacto da reabilitação oral ultrapassa a aparência.
“O momento mais marcante é quando o paciente olha no espelho e percebe que pode sorrir com liberdade.”
A melhora da mastigação, da fala e da segurança pessoal repercute no convívio social, profissional e familiar. “Muitos chegam retraídos. Saem confiantes.
Escolha consciente
Para Simone, o primeiro passo é o paciente compreender o que deseja para si. A partir disso, deve buscar o especialista adequado, avaliar formação, experiência e casos realizados.
“Não é sobre preço. É sobre expectativa, planejamento e resultado. A gente se organiza para aquilo que considera prioridade.”
Nunca é tarde para sorrir: a reabilitação oral de uma mulher de 79 anos

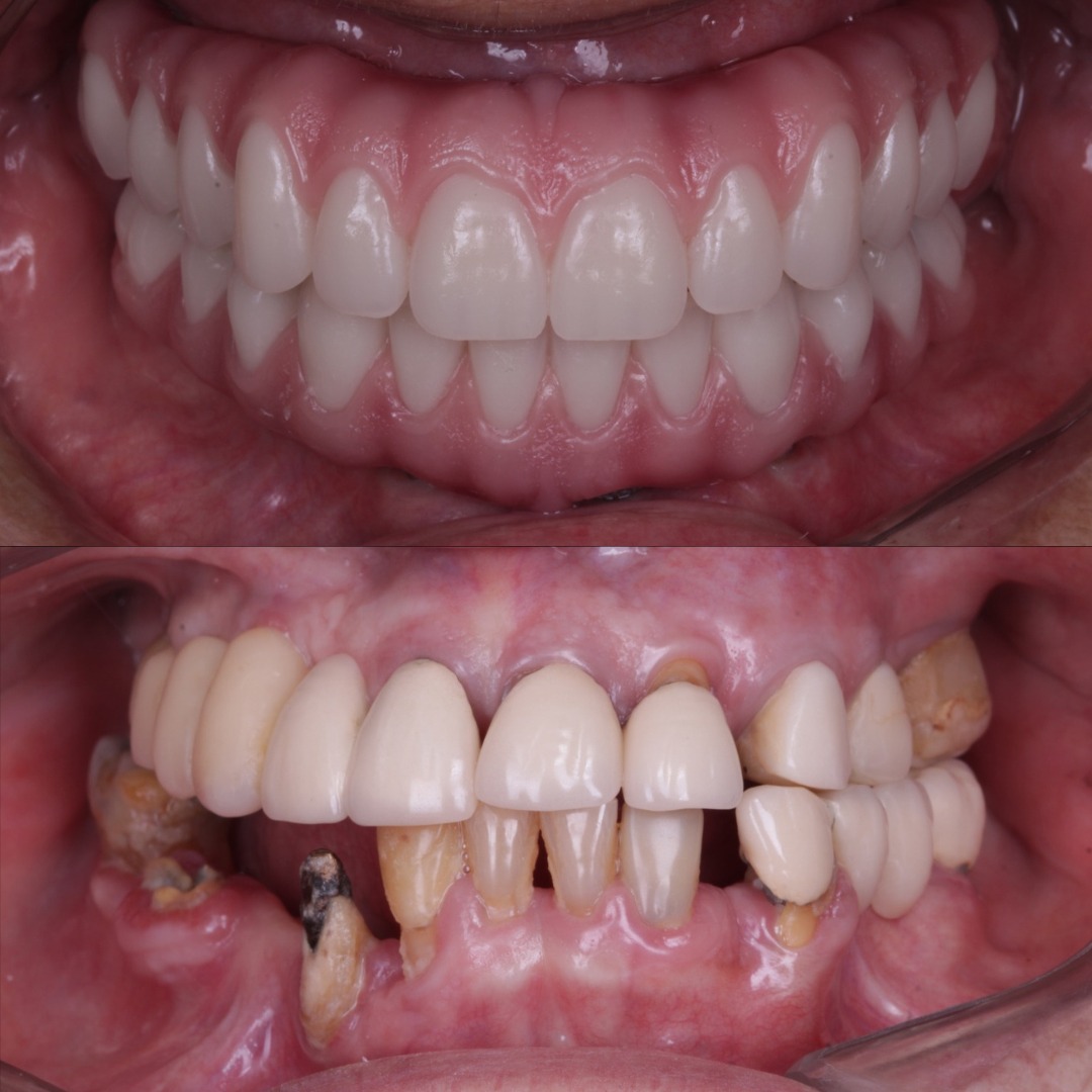
No mês dedicado às mulheres, este caso mostra que autoestima, saúde e qualidade de vida não têm idade. A paciente, de 79 anos, apresentava doença periodontal avançada, com comprometimento da gengiva, perda óssea significativa e perda de todos os dentes.
O tratamento começou com um planejamento digital detalhado, que permitiu estudar toda a cirurgia e mostrar à paciente, ainda no computador, como ficaria o novo sorriso antes mesmo do procedimento. Após a aprovação do planejamento desenvolvido em parceria com o laboratório GuiderLab, de São Paulo, referência nacional em planejamento digital para implantes dentários a cirurgia foi realizada.
Durante o procedimento, foram removidos os dentes comprometidos e instalados seis implantes na arcada superior e cinco implantes na arcada inferior. No mesmo dia, a paciente já saiu com uma prótese provisória fixa sobre os implantes, recuperando imediatamente a estética do sorriso e a função mastigatória.
Após cerca de três meses de cicatrização e integração dos implantes ao osso, foi instalada a prótese definitiva, desenvolvida com gengiva artificial realista, caracterizada na mesma tonalidade da gengiva da paciente e dentes premium, proporcionando um resultado natural e harmonioso.
Mais do que recuperar o sorriso, o tratamento devolveu conforto, segurança e qualidade de vida. A própria paciente resumiu a experiência em uma frase que marcou o final do tratamento:
“Agora sim eu posso comer churrasco, aproveitar os momentos em família e ter qualidade de vida. Posso morder sem medo e voltar a sorrir com confiança. E meus dentes ficaram lindos, com uma estética muito natural.”
